在診間,我常跟病人分享:能夠為您「訂製微笑」,是台中牙醫師最高的殿堂。這不只是修補一顆牙,而是在微小的空間裡,創造出與您的臉型、膚色、甚至眼白和諧共處的藝術。
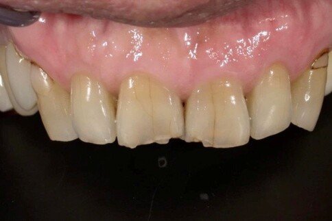
面對前牙(門牙)的缺損或美觀問題,我們通常會根據「修復範圍」與「牙齒健康狀況」,在全瓷冠與陶瓷貼片之間做選擇。
✨ 一、 單顆修復的極致挑戰
當您只有「單顆」門牙受損時,挑戰在於模仿隔壁那顆「天生的牙」。我們利用全瓷冠的高透光性創造視覺平衡,避免做出一顆看起來很新卻很突兀的假牙。
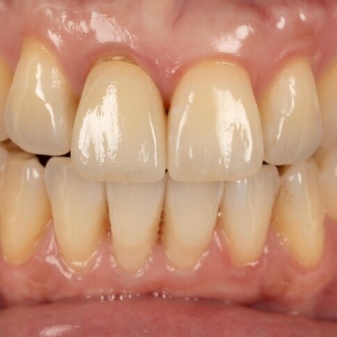
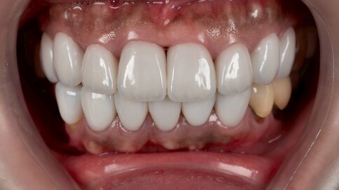
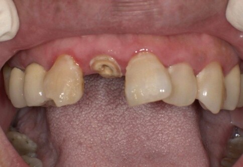
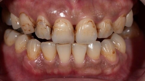
Case 1:舊假牙死白換新,牙肉回彈跡象。

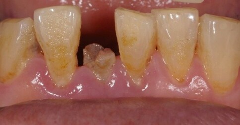
Case 2:下顎單顆假牙,齒質足夠支撐復型。

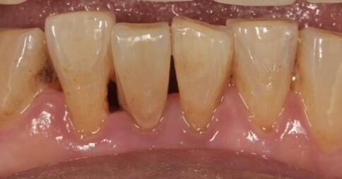
Case 3:側門齒缺牙空間調整,創造和諧外觀。

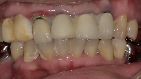
Case 4:技師比色驗證,達成理想結果。

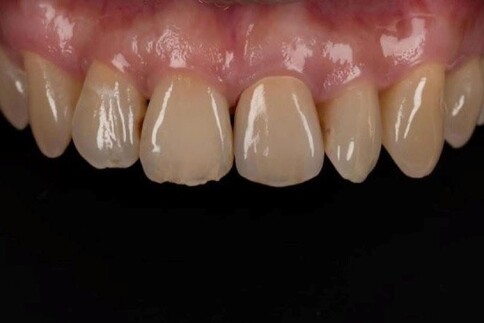
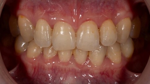
✨ 二、 兩顆的正中對決:對稱美學
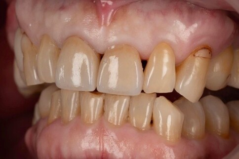
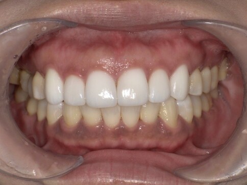
Case 5:年長患者磨耗裂痕修復,稍稍提亮。

Case 6:僅用兩顆全瓷冠解決色差與中軸偏差。
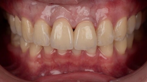
✨ 三、 四至六顆:微笑曲線重塑
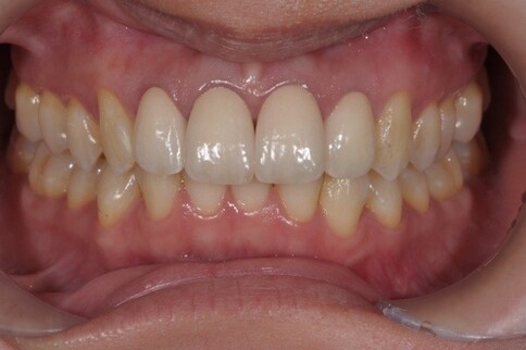
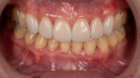
Case 7:外突內收打造理想笑線,提亮色階。

Case 8:拆除舊連排假牙,換成獨立顆數全瓷冠。

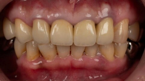
✨ 四、 陶瓷貼片:美學微整
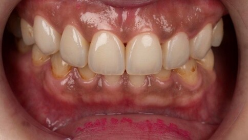
Case 9:氧化鋯貼片改善四環黴素變色。

Case 10:改善不均勻齒色,修復磨耗邊緣。

Case 11:Amber Mill 琥珀瓷造就自然透亮笑容。

Case 12:貼片延伸至牙縫,降低病變並修補空隙。

“
關於選色專業建議:
- 眼白標準:理想齒色應比眼白暗半個色階。
- 膚色平衡:暖膚選暖黃、冷膚選冷色,校正後各種唇膏都能駕馭。






