

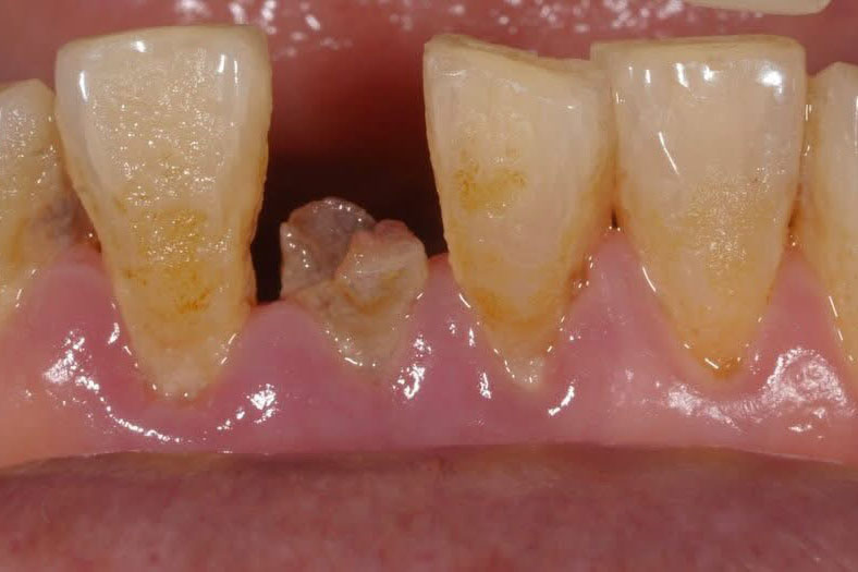
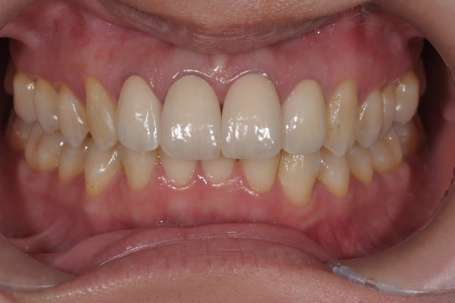
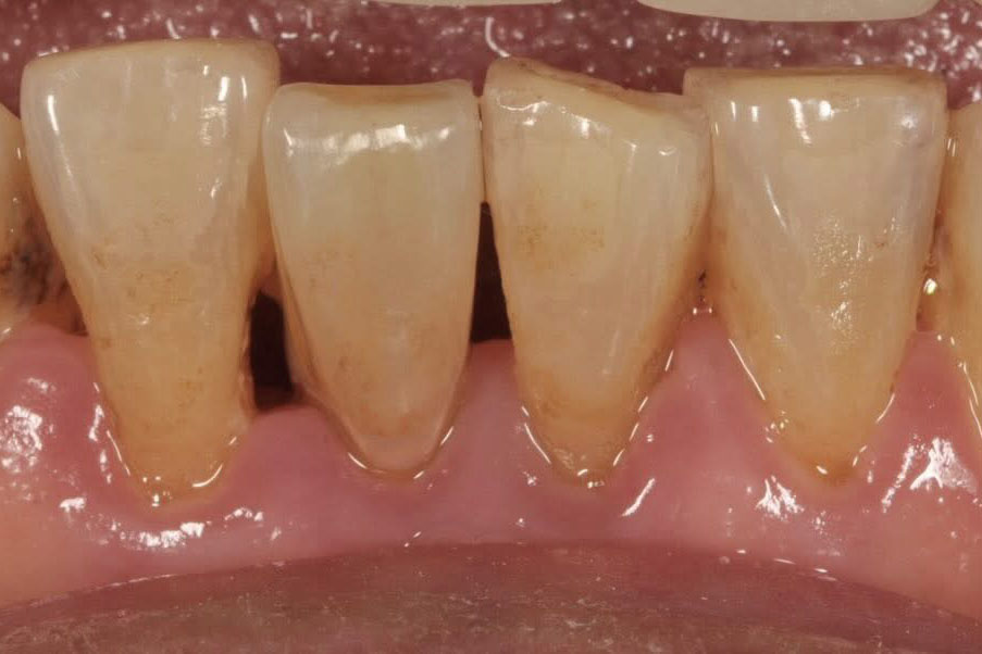
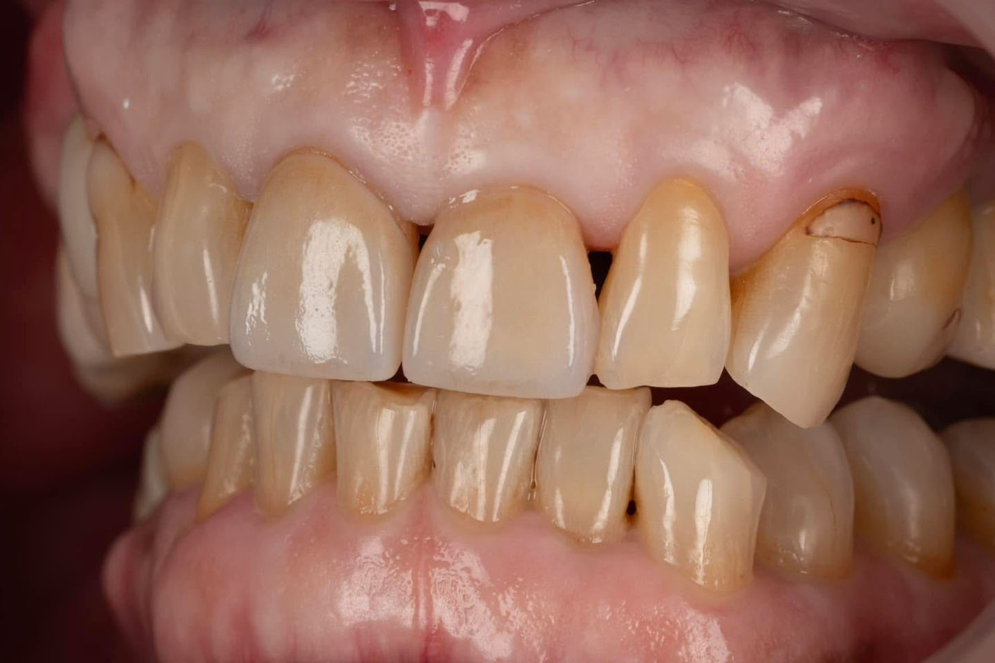
陶瓷貼片(Porcelain Veneers)是薄度僅約 0.3mm 的高強度全瓷片。透過微量調整牙齒表面後黏著,能一次解決四環黴素染牙、齒縫過大、門牙缺角或牙齒形狀不佳等問題。
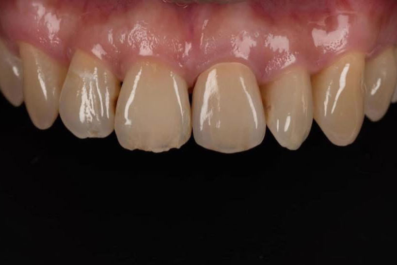
針對牙齒變色不嚴重,追求極致自然透亮感的患者,我們選用 Amber Mill (琥珀瓷)。
面對嚴重的四環黴素染色或死髓牙變黑,一般貼片難以掩蓋底色。我們採用高遮色氧化鋯 (Zirconia),能徹底阻絕深色背景。
| 陶瓷貼片 | 全瓷冠 | |
| 材質 | 全陶瓷 | |
| 用途 | 美白美型牙面,局部修復受損牙齒 | 美白美型牙齒,修復嚴重受損牙齒 |
| 包覆範圍 | 僅覆蓋牙齒外側 | 全面包覆整顆牙冠 |
| 牙齒修磨量 | 健康牙修磨0.2-0.5mm | 牙齒需要磨小 |
| 保留齒質量 | 保留較多健康牙齒 | 保留較少健康牙齒 |
| 術後敏感狀況 | 牙齒修磨少,恢復期過後幾乎不會敏感 | 牙齒修磨多 較容易敏感(已根管治療除外) |

在惠韻牙醫診所,我們堅信每一顆真牙都無比珍貴。為此,我們使用「精準引導式」的療程流程:




