前牙假牙
在所有牙科治療裡,能夠幫病人「訂製微笑」,無疑是牙醫師的最高殿堂。
當牙齒經過根管治療,或缺損範圍過大時,就需要假牙來保護。
在單顆前牙假牙的情況下,我們要做的,就是盡可能模仿隔壁那顆牙。
若存在不對稱,就得在非常有限的空間裡,創造視覺平衡的條件。

(Case 1 就是這樣的例子。)
當假牙顆數來到四顆或六顆時,調整空間就更大了:整齊對稱、顏色調整、笑線弧度的改善也可一起進行。

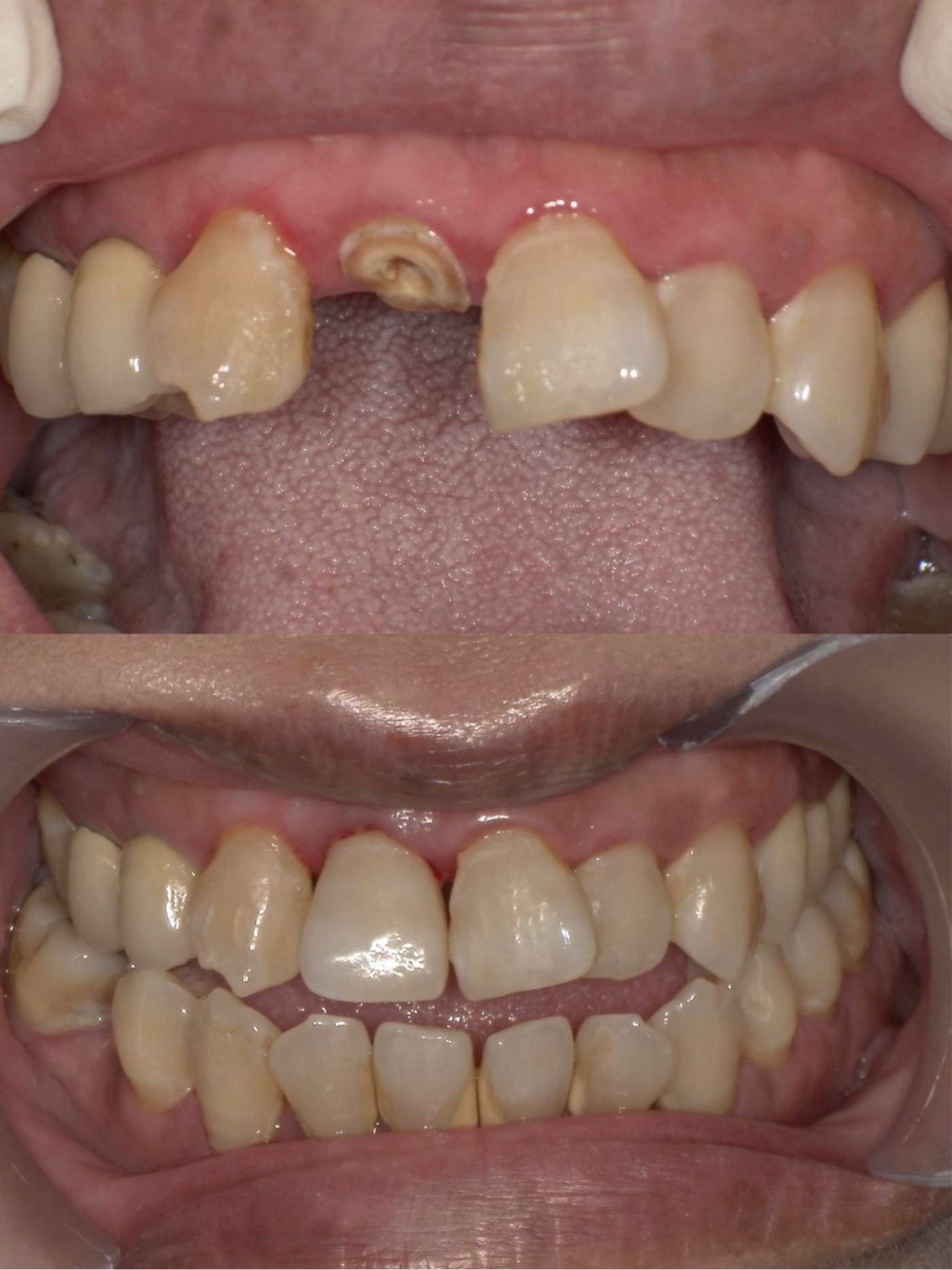
Case 2 的病患四顆牙都曾做了根管治療,但一直沒有做上假牙。看術前照片可以發現幾個問題:牙齒變色、二次蛀牙、填補物色差,此外牙齒型態略顯不對稱,排列上有些外暴,也缺乏自然的微笑線弧度。
希望這次的療程,能一次為她解決這些問題
接下來來聊聊「顏色」
顏色一直是她最擔心的地方。前牙的顏色選擇,確實是一場抉擇。
大家常開玩笑說「潘若迪白」或「馬桶白」,就是在形容太白、太假的感覺。
如果需要上鏡、拍照,因為閃光燈會吃掉亮度,確實可以選白一點的色階;
但在日常生活裡,大多數人仍然偏好「自然的白」——乾淨、通透、有光澤。
以四顆假牙來說,「白的天花板」通常由其他牙齒決定。
我們可以比周圍的牙齒白約半個色階,視覺上會提亮而不突兀。
若想更白,就要搭配其他牙齒的美白療程或貼片,才不會有落差。
另一個顏色的天花板,其實是「眼白」
當牙齒白得比眼白還白,視覺上就會出現違和感。
因為眼白的色澤反應了一個人的年齡與健康狀況,這會在潛意識影響我們看一個人的初步印象。
當假牙太白,反而會讓眼白看起來相對發黃,使整體顯得疲倦或年紀大,所以需要避免,最好是暗半個色階。
同樣地,膚色與唇色也會影響選色方向。
暖膚適合偏A色調(暖色/橘黃色調),而冷色調膚色則適合B色調(中性偏冷色)。因此比色的時候,請技師到場看看本人,還是蠻重要的一件事。
她也聊到她以前塗口紅總是覺得哪裡怪怪的,其實這也跟牙齒顏色有關,當牙齒偏黃的時候,許多口紅色號都會讓牙齒看起來更黃,不然就是顯得唇色髒髒的,此時大概只有莓果色、帶藍色基底的正紅色(如被稱為黃牙救星的M·A·C 的 Ruby Woo)還可以用用,而裸色系、磚紅橘、珊瑚粉、豆沙色(coral rose)等等就千萬要避免。但經過全瓷冠的調整,我想連最難駕馭的蜜桃橘和芭比粉,對她來說都不是問題囉
後記
她笑著說:「我跟兒子說,要好好照顧牙齒,不然就會像媽媽一樣要做假牙。」
兒子回答:「可是妳這樣做假牙很漂亮耶!」
好有愛的對話唷,兒子永遠是媽媽的小情人
(CDT:宇禾牙體技術所)