關於我們
診所介紹
環境介紹
服務項目
內科診療項目
糖尿病整合照護
甲狀腺超音波與穿刺
甲狀腺功能異常
血壓血脂異常
精準代謝體重管理
營養修復點滴
整合式健康評估
牙科診療項目
全瓷贋復
人工植牙
前牙貼片
牙周治療
根管治療
微創手術
全口重建
活動假牙
醫療團隊
內科醫師
牙醫師
護理/衛教師
藥師
衛教專區
內科診療項目
糖尿病整合照護
甲狀腺超音波與穿刺
甲狀腺功能異常
血壓血脂異常
精準代謝體重管理
營養修復點滴
整合式健康評估
牙科診療項目
全瓷贋復
人工植牙
前牙貼片
牙周治療
根管治療
微創手術
全口重建
活動假牙
案例分享
甲狀腺疾患
血糖控制
減重成效
全瓷冠
門診資訊
聯絡我們
牙科診療項目
首 頁
牙科診療項目
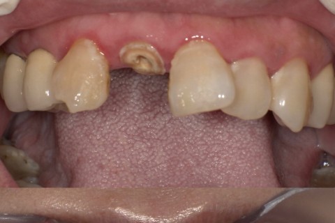
單顆前牙總是挑戰
牙科診療項目 - 2026-02-11
單顆前牙總是挑戰 像是一個I人想偷偷混進一群E人的party,不想被發現,只能小小聲說:「噓~別說我在這呢!」 CDT 李翰璿
更多內容
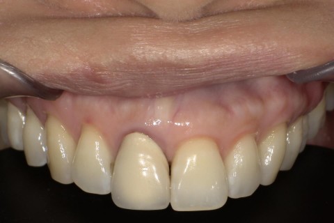
單顆前牙假牙
牙科診療項目 - 2026-02-11
又是一顆單顆前牙假牙 病患是個笑容燦爛的女孩,但舊的金屬燒瓷牙邊緣灰黑、顏色死白,讓她想改變這個視覺焦點。 接到這個case一開始很開心,因為牙肉高度的落差,治療計劃包含了軟組織手術,我個人很喜歡這個精巧...
更多內容
前牙假牙
牙科診療項目 - 2026-02-11
前牙假牙 在所有牙科治療裡,能夠幫病人「訂製微笑」,無疑是牙醫師的最高殿堂。 當牙齒經過根管治療,或缺損範圍過大時,就需要假牙來保護。 在單顆前牙假牙的情況下,我們要做的,就是盡可能模仿隔壁那顆牙。 ...
更多內容