單顆前牙假牙
2026-02-11
又是一顆單顆前牙假牙

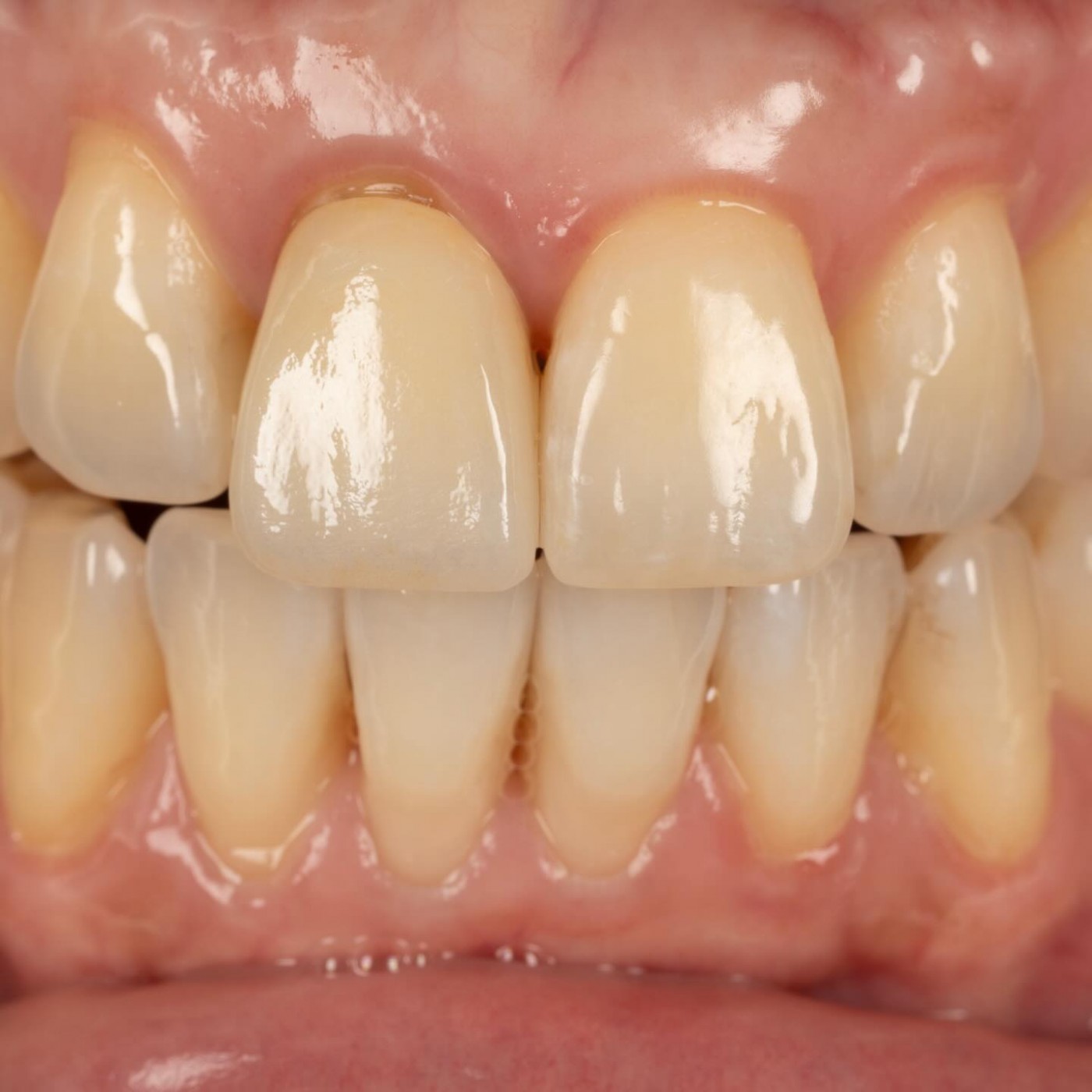
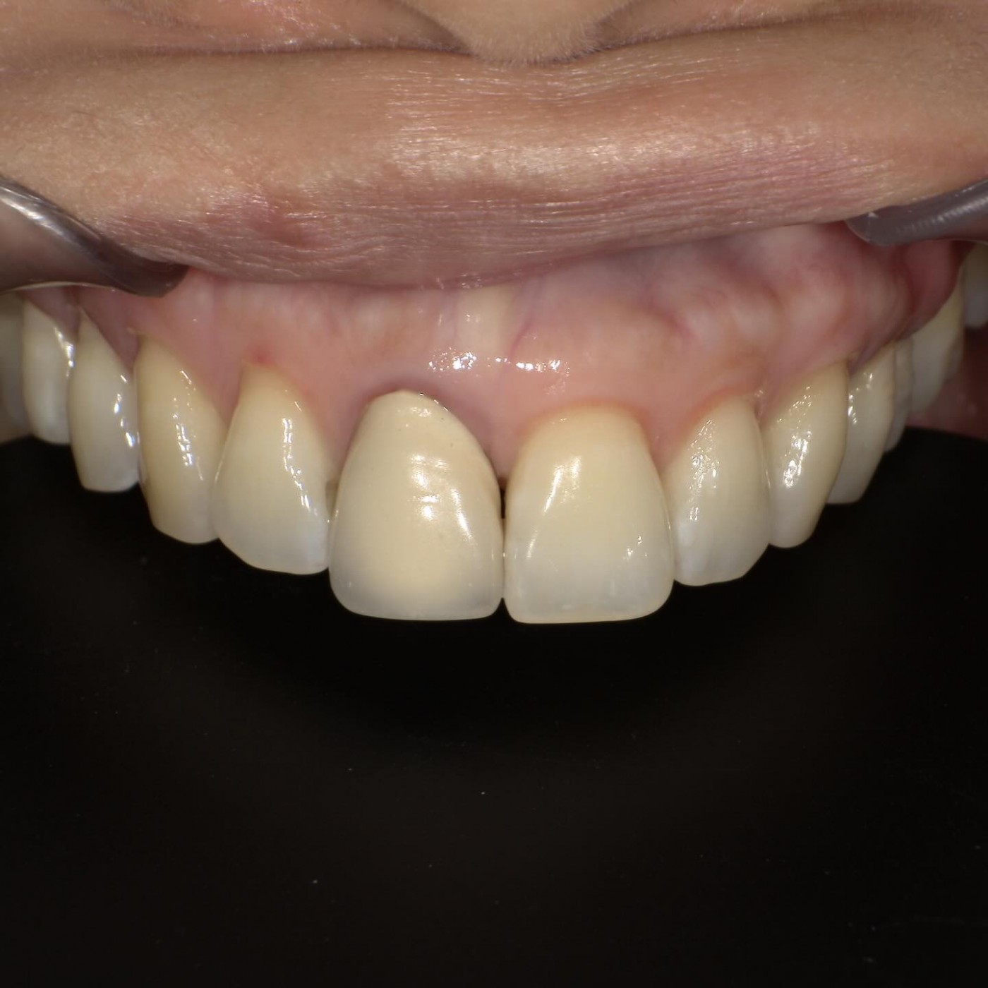
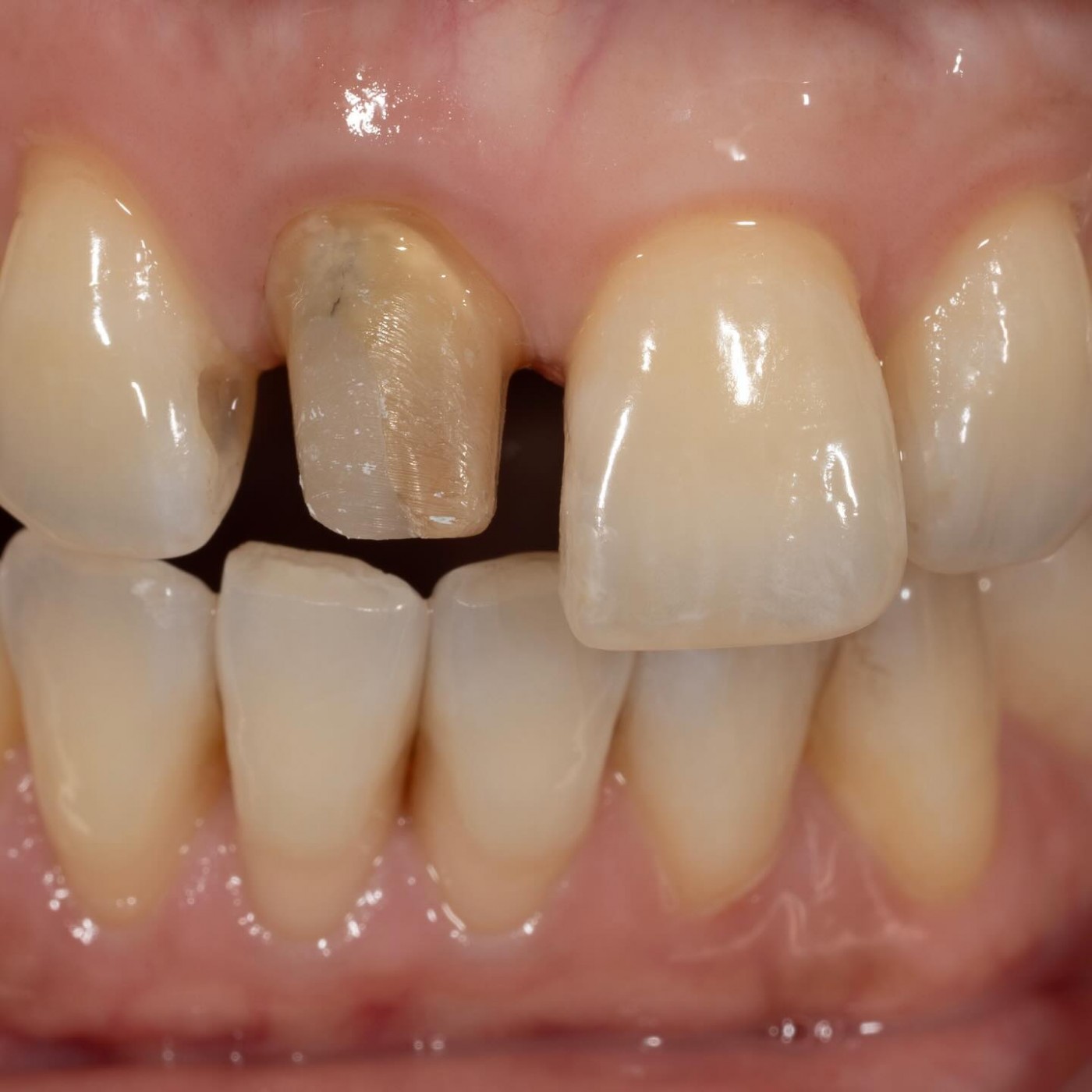
病患是個笑容燦爛的女孩,但舊的金屬燒瓷牙邊緣灰黑、顏色死白,讓她想改變這個視覺焦點。
接到這個case一開始很開心,因為牙肉高度的落差,治療計劃包含了軟組織手術,我個人很喜歡這個精巧的小手術。
但想不到我們只是換上臨時假牙,並把假牙邊緣往下移一些,牙肉就長回來一點了,兩邊雖仍有落差,但已經不會讓人特別注意到。最後換上正式假牙,輕鬆達成病人的期待
好啦~少動一刀,是更開心的事