關於我們
診所介紹
環境介紹
服務項目
內科診療項目
糖尿病整合照護
甲狀腺超音波與穿刺
甲狀腺功能異常
血壓血脂異常
精準代謝體重管理
營養修復點滴
整合式健康評估
牙科診療項目
全瓷贋復
人工植牙
前牙貼片
牙周治療
根管治療
微創手術
全口重建
活動假牙
醫療團隊
內科醫師
牙醫師
護理/衛教師
藥師
衛教專區
內科診療項目
糖尿病整合照護
甲狀腺超音波與穿刺
甲狀腺功能異常
血壓血脂異常
精準代謝體重管理
營養修復點滴
整合式健康評估
牙科診療項目
全瓷贋復
人工植牙
前牙貼片
牙周治療
根管治療
微創手術
全口重建
活動假牙
案例分享
甲狀腺疾患
血糖控制
減重成效
全瓷冠
門診資訊
聯絡我們
全瓷贋復
首 頁
牙科診療項目
全瓷贋復
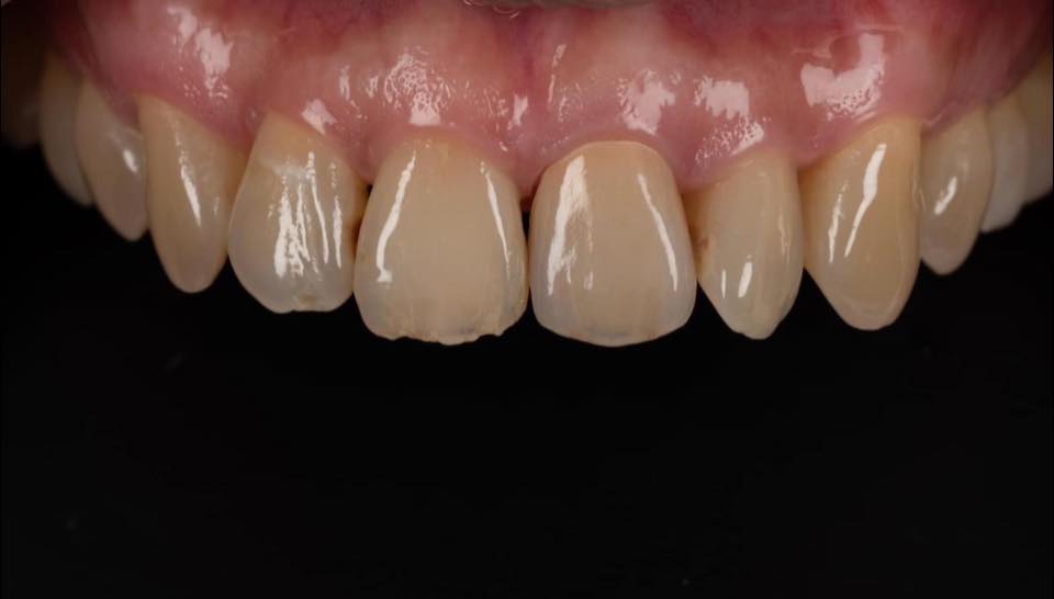
單顆前牙總是挑戰
2026-02-11
單顆前牙總是挑戰
像是一個I人想偷偷混進一群E人的party,不想被發現,只能小小聲說:「噓~別說我在這呢!」
CDT 李翰璿
回上一頁